Exemples de résultats
après chirurgie du pied

Ces exemples illustrent l’évolution habituelle après une chirurgie de l’avant-pied, à différentes étapes de la prise en charge.

Ils ont pour objectif de permettre aux patients de mieux comprendre le déroulement post-opératoire, l’aspect normal de la cicatrice, la présence éventuelle d’œdème et la récupération fonctionnelle au fil du temps. Les résultats présentés correspondent à des situations individuelles et ne constituent en aucun cas une garantie de résultat, chaque prise en charge étant adaptée à la pathologie et aux caractéristiques propres à chaque patient.

Explorez différentes étapes post-opératoires en cliquant sur chaque étape ci-dessus

15 jours après l’intervention

Cet exemple correspond à l’aspect du pied lors du premier rendez-vous post-opératoire, au cours duquel le pansement est refait pour la première fois. Grâce au bandage spécifique mis en place dès l’intervention, l’œdème est généralement limité. La cicatrisation cutanée est le plus souvent déjà acquise, sans point de suture visible.

Œdème modéré, favorisé par la surélévation du membre opérée durant les premières semaines

Absence de points de suture, liée à l’utilisation de techniques mini-invasives ou percutanées

Écart entre le premier et le deuxième orteil volontairement accentué par le pansement, participant à la correction et au maintien du résultat

Cas d’un hallux valgus isolé

Patiente de 54 ans

Métier physique

Douleurs quotidiennes pré-opératoire

Devait adapter ses chaussures

Avant l’intervention

15 jours après

Cicatrice 15 jours après

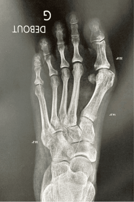
Radio avant l’intervention

Radio 15 jours après

Explorez différentes étapes post-opératoires en cliquant sur chaque étape ci-dessus

15 jours après l’intervention

Cet exemple correspond à l’aspect du pied lors du premier rendez-vous post-opératoire, au cours duquel le pansement est refait pour la première fois. Grâce au bandage spécifique mis en place dès l’intervention, l’œdème est généralement limité. La cicatrisation cutanée est le plus souvent déjà acquise, sans point de suture visible.

Œdème modéré, favorisé par la surélévation du membre opérée durant les premières semaines

Absence de points de suture, liée à l’utilisation de techniques mini-invasives ou percutanées

Écart entre le premier et le deuxième orteil volontairement accentué par le pansement, participant à la correction et au maintien du résultat

Cas d’un hallux valgus isolé

Patiente de 54 ans

Métier physique

Douleurs quotidiennes pré-opératoire

Devait adapter ses chaussures

Avant l’intervention

15 jours après

Cicatrice 15 jours après

Radio avant l’intervention

Radio 15 jours après

Explorez différentes étapes post-opératoires en cliquant sur chaque étape ci-dessus

15 jours après l’intervention

Cet exemple correspond à l’aspect du pied lors du premier rendez-vous post-opératoire, au cours duquel le pansement est refait pour la première fois. Grâce au bandage spécifique mis en place dès l’intervention, l’œdème est généralement limité. La cicatrisation cutanée est le plus souvent déjà acquise, sans point de suture visible.

Œdème modéré, favorisé par la surélévation du membre opérée durant les premières semaines

Absence de points de suture, liée à l’utilisation de techniques mini-invasives ou percutanées

Écart entre le premier et le deuxième orteil volontairement accentué par le pansement, participant à la correction et au maintien du résultat

Cas d’un hallux valgus isolé

Patiente de 54 ans

Métier physique

Douleurs quotidiennes pré-opératoire

Devait adapter ses chaussures

Avant l’intervention

15 jours après

Cicatrice 15 jours après

Radio avant l’intervention

Radio 15 jours après

Explorez différentes étapes post-opératoires en cliquant sur chaque étape ci-dessus

15 jours après l’intervention

Cet exemple correspond à l’aspect du pied lors du premier rendez-vous post-opératoire, au cours duquel le pansement est refait pour la première fois. Grâce au bandage spécifique mis en place dès l’intervention, l’œdème est généralement limité. La cicatrisation cutanée est le plus souvent déjà acquise, sans point de suture visible.

Œdème modéré, favorisé par la surélévation du membre opérée durant les premières semaines

Absence de points de suture, liée à l’utilisation de techniques mini-invasives ou percutanées

Écart entre le premier et le deuxième orteil volontairement accentué par le pansement, participant à la correction et au maintien du résultat

Cas d’un hallux valgus isolé

Patiente de 54 ans

Métier physique

Douleurs quotidiennes pré-opératoire

Devait adapter ses chaussures